Knee Replacement

Patient Information

Knee Replacement

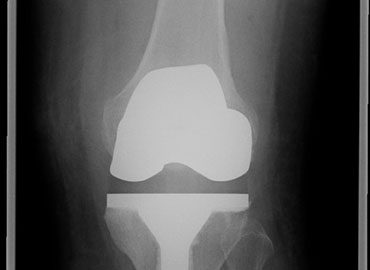
A knee replacement involves removing the worn joint surfaces from the top end of the shin bone and the bottom end of the thigh bone and sometimes the under surface of the knee cap. Metal and plastic components are cemented into the bone to fill the gap.

The operation is performed under a general anaesthetic or a spinal anaesthetic. Supplementary local anaesthetic blocks to the major nerves to the knee and the tissues surrounding the knee are also provided to provide post-operative pain relief.

The operation takes approximately 60 minutes.

Before and After

You will be called for a pre-operative assessment ( health check ) a week or so prior to the operation.

You will also attend a physiotherapy class where you are given information on what to expect afterwards. The physiotherapist and occupational therapist will arrange for any appliances required to enhance your recovery. You will normally be in hospital approximately five days after a knee replacement.

Generally speaking you will need 2-3 months off sick from work following the operation to allow you to recuperate.

Further Information
Questions

A selection of Frequently Ask Questions about this procedure.

More >>
Links

Some links for further resources available.

More >>

Image Gallery

What is a knee replacement?
A knee replacement involves removing the worn joint surfaces from the top end of the shin bone and the bottom end of the thigh bone and sometimes the under surface of the knee cap. Metal and plastic components are cemented into the bone to fill the gap.
The operation is done through a straight skin incision over the front of the knee measuring approximately a little more than the length of your hand.
What type of anaesthetic will I need?
The operation is performed under a general anaesthetic or a spinal anaesthetic. Supplementary local anaesthetic blocks to the major nerves to the knee and the tissues surrounding the knee are also provided to provide post-operative pain relief.
Some people wish to be asleep during the operation, others prefer to be awake. The anaesthetist will consider your preference and advise which anaesthetic is most appropriate taking into consideration your general health and own preferences.
How long does the operation take?
xx
The operation takes approximately sixty minutes.
Do I need to prepare for a knee replacement?
You will be called for a pre-operative assessment ( health check ) a week or so prior to the operation.
You will also attend a physiotherapy class where you are given information on what to expect afterwards. The physiotherapist and occupational therapist will arrange for any appliances required to enhance your recovery.
The only preparation required on the day is six hours starvation for the anaesthetic.
How long will I be in hospital?
You will normally be in hospital approximately five days after a knee replacement.
Will my knee be painful afterwards?
It is normal for the knee to be painful post-operatively but the pain improves on a daily basis. Strong analgesics are prescribed after the operation. The nerve blocks described above along with local anaesthetic injections into the knee joint during the operation often provide good pain relief for up to 24 hours post-operatively.
Generally speaking it is normal for the knee to be swollen for a few weeks after the operation.
The majority of the pain should have settled within 6 weeks of the operation
How much time will I need to take off work?
Generally speaking you will need 2-3 months off sick from work following the operation to allow you to recuperate.
You will be able to work from home to a limited capacity within this period if you wish.
Will I need crutches?
You will need crutches for approximately 1-2 weeks after a knee replacement. After that it is normal to progress to a single walking stick for a little while longer until the strength returns to your knee.
Are there any stitches?
Generally speaking a dissolvable stitch is used under the skin and does not need to be removed.
Will I need physiotherapy treatment?
Physiotherapy treatment is very important and starts the day after the operation.
You will need to work hard with physiotherapy for the first 6 weeks after the operation to gain a good range of knee movement.
What is the success of the operation?
The vast majority of people undergoing a knee replacement are happy with the result with relief of pain and restoration of function.
What are the complications of the operation?
There is a small risk of complications occurring, some of which can be serious. Many precautions are taken to try and keep the risks to an absolute minimum. Your surgeon will discuss the risks with you prior to the operation allowing sufficient time for you to consider them and make an informed decision about whether you are happy to proceed with the surgery.
When can I drive?
Generally speaking you will be able to drive at about 6 weeks after the operation but you should seek permission from your surgeon before hand. You will need to inform DVLA and your insurance company that you have had a knee replacement and are considered fit to drive.
When can I travel overseas?
It is inadvisable to fly overseas for approximately 6 weeks after a knee replacement unless the trip is very important. You should seek specific advice from your surgeon before flying.
Concerns?
The above will answer the majority of questions but is not meant to be totally exclusive.
If you have any questions not covered above, please ask your Specialist. He/she is there to help you.
TOP